Knobbeltjes op de darm
Stel je voor: je voelt vaak stekende pijn, links in de onderbuik. Het gaat voorbij en komt weer terug.
Drukken op de buik is soms pijnlijk. Het gaat meestal gepaard met afwisselend obstipatie en diarree. Je kunt je ziek of misselijk voelen. Als het erger wordt gaat dit gepaard met koorts. De aandoening komt meestal voor vanaf 50 jaar.
Het is geen symptoom van appendicitis of blindedarmontsteking, dat uit zich door pijn aan de rechterzijde van de onderbuik.

DIVERTIKELS – DIVERTICULOSE - DIVERTICULITIS
Divertikels ontstaan ongemerkt en niet iedereen heeft er last van. Een divertikel is een kleine goedaardige uitstulping in de dikke darm. Je kan het best vergelijken met kleine zakjes ter grootte van een erwt. Binnenin heeft de darm dan het uitzicht van kaas met gaatjes, de buitenkant lijkt op een fietsband waar de binnenband doorheen puilt. Met het ouder worden zijn de spieren rondom de darmwand slapper. Op de plaatsen waar de darmwand lichtjes verzwakt is, ontstaat de uitstulping (blaasje) van het slijmvlies, met wat darminhoud erin.


Diverticulose is de aanwezigheid van meerdere divertikels, verspreid over verschillende plekken van de dikke darm. Ze komen meestal voor op het 'sigmoid', de laatste bocht van de darm (linker onderbuik). Sommigen hebben er helemaal geen last van, bij anderen is er sprake van chronische diverticulose met af en toe opstoten van buikkrampen, periodes van constipatie en diarree die elkaar afwisselen en soms zelfs koorts.


Als er echter koorts, pijnlijke darmkrampen, wisselende ontlasting en bloedverlies mee gemoeid is, dan spreekt men van diverticulitis. Dit wijst dan op een ontsteking van één of meer van de divertikels. Er blijven vaak kleine bolletjes stoelgang achter in de divertikels, dat brengt soms ontsteking teweeg (waardoor zich een abces vormt). Snel behandelen is aanbevolen, want diverticulitis kan tot ernstige complicaties leiden!

foto hierboven: duidelijk verschil tussen diverticulose en diverticulitis

Die ontstekingen kunnen zich in verschillende gradaties voordoen; heel plaatselijk of uitgebreid in de hele darmwand. In zeldzame gevallen ontstaan er vanuit deze divertikels ernstige spontane bloedingen door een bloedvaatje dat werd geraakt. Die bloedingen stoppen gelukkig meestal vanzelf en normaal zal een massieve bloeding zich ook niet herhalen. Maar het geeft nogal eens paniekreacties.

Behandeling
De huisarts zal de ernst van de diverticulitis inschatten. Dat gebeurt aan de hand van volgende parameters: koorts, een afwijkend onderzoek van de buik en hoge ontstekingswaarden in het bloed. Bij een lokale diverticulitis kan een antibioticabehandeling soelaas bieden en voor pijnverlichting zorgen.
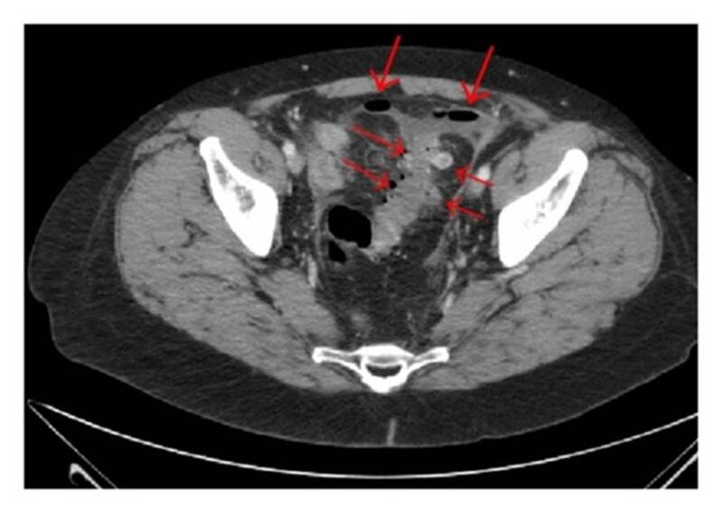
Neemt het abces te grote proporties aan, dan volstaat een antibioticakuur niet meer. Bij vermoeden van een ernstige diverticulitis wordt je doorverwezen naar het ziekenhuis voor een CT-scan van de buik of een radiografie met contrastmiddel. Daarnaast kan ook een echografie helpen om een duidelijk beeld te schetsen van de uitstulpingen. (Door die scan met contrastvloeistof weet ik dat mijn (bijna dagelijkse) lichte buikpijn te wijten is aan diverticulose of meerdere divertikels).


In ernstiger gevallen, wanneer de ontsteking uitbreidt en een groter deel van de darmwand aantast, is een ziekenhuisopname nodig. Daar wordt antibiotica intraveneus toegediend. Jonge mensen en mensen van middelbare leeftijd die geregeld een ernstige diverticulitis doormaken, kunnen operatief behandeld worden. Ook in uitzonderlijke gevallen of complicaties (darmperforatie, fistelvorming ..) is een heelkundige ingreep nodig. Het aangetaste stukje dikke darm wordt dan weggenomen. Meestal kan dit met een kijkoperatie (laparascopie).
Wat kan je als patiënt zelf doen?
Diverticulose en diverticulitis zijn vaak een geschenk van onze westerse manier van leven. Het proces dat zorgt voor de vorming van divertikels is nog niet helemaal ontrafeld. Maar er zijn sterke aanwijzingen dat het te maken heeft met onze leef- en voedingsgewoonten. Voldoende bewegen en letten wat er op je bord komt is een must. In landen waar een vezelrijk menu is ingeburgerd, is er nauwelijks sprake van diverticulose. Vezels zorgen namelijk voor voldoende vochtabsorptie. Een tekort hieraan geeft na verloop van tijd harde stoelgang. Binnen de darm zorgt dat voor een verhoogde druk, die nodig is om de stoelgang te laten passeren. Na verloop van tijd ontstaan er dan zwakke plekken in de darmwand, het slijmvlies gaat uitstulpen.


Divertikels verdwijnen niet vanzelf en je kunt ze niet chirurgisch laten weghalen. De kans op ontsteking kun je wel beperken door obstipatie zo veel mogelijk te vermijden door het eten van een vezelrijke voeding én fruit. Vezels zitten vooral in volkoren- en roggebrood, aardappelen, muesli, volkorenpasta, zilvervliesrijst, peulvruchten (bonen, erwten, linzen), groenten (ook rauwkost) en fruit zoals noten en pruimen. Het is ook belangrijk de ontlasting soepel te houden, door voldoende te drinken en voldoende te bewegen.

Bij obstipatie kan je een laxeermiddel bv. psylliumzaad, lactulose of macrogol gebruiken om de klachten te verminderen. Zorg dat je daarbij voldoende drinkt (anderhalf tot twee liter per dag).
Bij pijn kan men bv. paracetamol innemen, maar gebruik geen NSAID’s (bv. diclofenac, naproxen of ibuprofen). Ze irriteren de darmwand.
Tot slot: divertikels zijn GEEN poliepen.
Ze komen beide voor langs de wand van de dikke darm. Vandaar dat er verwarring kan ontstaan.
Het verschil is dat een poliep een kleine aanwas is (een gezwel – een soort bloemkoolachtig wratje) dat groeit aan de binnenzijde van de darmwand.
Divertikels daarentegen komen voor aan de buitenkant van de darm. Divertikels hebben geen link met darmkanker.


Poliepen echter kunnen van heel klein uitgroeien tot gezwellen van drie tot vier cm. Zij zijn de voorlopers van darmkanker: hoe groter de poliep, hoe meer kans dat zich kwaadaardige cellen ontwikkelen. Doch niet alle poliepen kennen een kwalijke evolutie.
Nog enkele interessante links:
Vezelrijke voeding en darmkanker:
https://www.gezondheid.be/index.cfm?fuseaction=art&art_id=590
Voedingsadviezen voor vezelrijke voeding:
Top 10 meest vezelrijke groenten:
https://groentegroente.nl/keukenweetjes/meest-vezelrijke-groentes/
Gezonde buik, vezelrijke voeding:
https://www.mlds.nl/gezonde-buik/vezelrijke-voeding/
Afbeeldingen zijn genomen via google
Maak jouw eigen website met JouwWeb